Είχε στον κόλπο της ερωτικό παιχνίδι για 10 χρόνια χωρίς να το έχει αντιληφθεί!
Μία 38 χρονη γυναίκα από την Σκωτία έφθασε στο νοσοκομείο με σοβαρά προβλήματα απώλειας βάρους, έτρεμε ενώ έπεσε και σε λήθαργο.
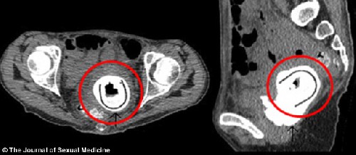
Στην προσπάθεια τους οι γιατροί να εντοπίσουν την αιτία της αδιαθεσίας της βρέθηκαν μπροστά σε μία τεράστια έκπληξη: H ακτινογραφία που της έκαναν έδειχνε καθαρά ότι αυτό που της προκαλούσε τα προβλήματα υγείας ήταν ένα ερωτικό παιχνίδι, που είχε τοποθετήσει η ίδια, μέσα στον κόλπο της πριν μία δεκαετία.
Η γυναίκα παραδέχθηκε ότι το είχε χρησιμοποιήσει με το σύντροφο της αλλά υποστήριξε ότι ήταν μεθυσμένη και δεν κατάλαβε τι έκανε..
Η ιατρική ομάδα του νοσοκομείου Αμπερντίν έδωσε στη δημοσιότητα την ακτινογραφία της περιοχής όπου είχε εισχωρήσει το αντικείμενο μήκους 11 εκατοστών!
Μία 38 χρονη γυναίκα από την Σκωτία έφθασε στο νοσοκομείο με σοβαρά προβλήματα απώλειας βάρους, έτρεμε ενώ έπεσε και σε λήθαργο.
Στην προσπάθεια τους οι γιατροί να εντοπίσουν την αιτία της αδιαθεσίας της βρέθηκαν μπροστά σε μία τεράστια έκπληξη: H ακτινογραφία που της έκαναν έδειχνε καθαρά ότι αυτό που της προκαλούσε τα προβλήματα υγείας ήταν ένα ερωτικό παιχνίδι, που είχε τοποθετήσει η ίδια, μέσα στον κόλπο της πριν μία δεκαετία.
Η γυναίκα παραδέχθηκε ότι το είχε χρησιμοποιήσει με το σύντροφο της αλλά υποστήριξε ότι ήταν μεθυσμένη και δεν κατάλαβε τι έκανε..
Η ιατρική ομάδα του νοσοκομείου Αμπερντίν έδωσε στη δημοσιότητα την ακτινογραφία της περιοχής όπου είχε εισχωρήσει το αντικείμενο μήκους 11 εκατοστών!